Комплексный осмотр с консультацией стоматолога:
- цифровое 3D-сканирование;
- осмотр ротовой полости с демонстрацией на мониторе;
- консультация врача-стоматолога;
- план лечения в нескольких вариантах со стоимостью и сроками.
Бесплатная диагностика
Протезирование на имплантах Все-на-4
(All-on-4) в Красноярске
Осмотр и консультация стоматолога – бесплатно!
Гарантия на протез до 20 лет в зависимости от материала
3D-сканирование
Цифровой протокол – без слепков
Цифровой протокол – без слепков
Ирригатор для ухода за полостью рта – в подарок!
Возврат 13% НДФЛ.
Помощь в оформлении документов
Помощь в оформлении документов
Все услуги клиники
Имплантация зубов
Инновационный метод имплантации зубов, созданный на основе применения 3D-технологий
от 42000 ₽
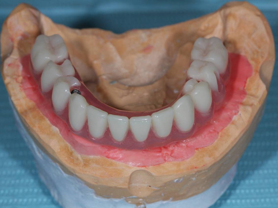
Протез Все-на-4
(All-on-4)
(All-on-4)
Быстро и безболезненно. Гарантия приживаемости. Запишитесь на бесплатную диагностику!
от 198000 ₽
Металлокерамические коронки
Запишитесь на бесплатную диагностику!
от 12800 ₽/ед.
Циркониевые
коронки
коронки
Запишитесь на бесплатную диагностику!
от 15000 ₽/ед.
Протез Все-на-4
(All-on-4)
(All-on-4)
Быстро и безболезненно. Гарантия приживаемости.
от 198000 ₽
Протез Все-на-6
(All-on-6)
(All-on-6)
Быстро и безболезненно. Гарантия приживаемости.
от 263000 ₽
Условно-съёмное протезирование
Протезирование условно-съемным протезом на 2-х имплантатах
от 165000 ₽
Нейлоновый
протез
протез
Протезирование зубов полными/частично съемным пластиночным протезом
от 9000 ₽
Бюгельный
протез
протез
Протезирование съемными бюгельными протезами на кламмерах
от 9000 ₽
Протез Квадротти (QuattroTi)
Протезирование съемными бюгельными протезами Квадротти
от 9000 ₽
Оплачивайте лечение в рассрочку
Мы являемся партнером СОВКОМБАНКА и карты «Халва»
О клинике «Gioia Dental»
Главная задача «Gioia Dental Clinic» — чтобы вы остались довольны лечением и его результатом.
В нашей клинике работают врачи с большим стажем, мы используем передовое немецкое оборудование KAVO, благодаря которому лечение протекает комфортнее и на 25% быстрее.
Мы дорожим нашими пациентами, заботимся об их комфорте и учитываем все пожелания по лечению.
В нашей клинике работают врачи с большим стажем, мы используем передовое немецкое оборудование KAVO, благодаря которому лечение протекает комфортнее и на 25% быстрее.
Мы дорожим нашими пациентами, заботимся об их комфорте и учитываем все пожелания по лечению.
Более 70 % пациенты приходят к нам по
рекомендации близких людей
рекомендации близких людей
Современное оборудование
Технологии нового поколения и опытная команда — чтобы лечить не только эффективно, но и с комфортом для пациента.
Работаем на современном оборудовании KAVO.
Цифровая диагностика, 3D-оборудование и современные материалы помогают врачам точно диагностировать каждого пациента и действовать уверенно.
У нас всё продумано до мелочей — от первых снимков до результата, который возвращает здоровье, эстетику и уверенность в себе.
Работаем на современном оборудовании KAVO.
Цифровая диагностика, 3D-оборудование и современные материалы помогают врачам точно диагностировать каждого пациента и действовать уверенно.
У нас всё продумано до мелочей — от первых снимков до результата, который возвращает здоровье, эстетику и уверенность в себе.
Тесное взаимодействие с зубной лабораторией.
Важна крепкая связь со специалистами, изготавливающими зубные протезы.
Необходима налаженная коммуникация с зубными техниками.
Взаимодействие с лабораторией зубных техников должно быть максимально плотным.
А главное — врач и техник работают как единая команда, что дает идеальную посадку, точный цвет и надёжный результат с первого раза.
Необходима налаженная коммуникация с зубными техниками.
Взаимодействие с лабораторией зубных техников должно быть максимально плотным.
А главное — врач и техник работают как единая команда, что дает идеальную посадку, точный цвет и надёжный результат с первого раза.
Наши врачи-стоматологи
Контакты
Адрес
г. Красноярск, ул. Карла Маркса, д. 48
Телефон
График работы
Ежедневно 09:00 - 21:00
Email
Контакты для коммерческих предложений по рекламе, партнёрству, сотрудничеству на не коммерческой основе: dentalakril@yandex.ru